Leading Dentists

MicroVision Aesthetics All About Veneers: Full Course from Smile Design, Lab Communication, Isolation to Bonding

Register Now

Course Description

Introduction

Microvision Aesthetics All About Veneers: Full Course From Smile Design, Lab Communication, Isolation To Bonding. Photo/Video Protocols, DSD Lab Communication, Wax-up Mockups, Smile Prototypes, Guided Preparations and Full Cementation Procedures of Veneers

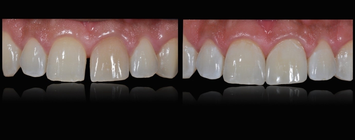
This course is dedicated to full veneer cosmetic dentistry and smile makeovers, including lab communication and work up. We will be working on a REAL PATIENT going through all the stages of Photography, DSD, Digital Scanning, Wax-up, Digital wax up, Resin Model printing, Prepping (on models), Isolation and then bonding (on models and try in on real patient).  It is essentially the only Australian A to Z veneer course of its kind, taught by well-respected internationally renowned Maxim Belograd and Oral Design lab technician Max Zuppardi.

This is a course for anyone wanting to go to the next level with veneer placement and cosmetic dentistry or just brushing up their skills. Don’t miss out this unique course as it may not be repeated in Australia.

We would like to remind you to bring:

- Laptops (Mac with keynote is the best option/ or windows with power point 10)

- Photo cameras

Swissotel is offering a 10% discount for all the course participants. You just need to quote DENT0818 in your booking request, which can be arranged via email (res.sydney@swissotel.com), phone (+612 9238 8888), or in person (Mon - Fri, 9am - 5pm)

DAY 1. Planning of Aesthetics: Photo/Video/Smile Design with real patient demonstration

 

LECTURE COMPONENT (2 HOURS)

• Principles of smile design

• Facially driven treatment planning

• Golden proportions in dental aesthetics

• Photo/video protocols for smile makeovers

• Cameras, lenses, flashes, soft boxes, additional light for portrait and intraoral

   photo/video workflow.

• How to use smartphones for simplified but efficient approaches

• Marketing

• DSD. Main principles of smile design

 

HANDS-ON COMPONENT

The main aim of this workshop is to learn how to plan smile makeover and to use simplified and efficient protocols of photo/video taking as well as Digital Smile design. We will be starting this process with a real patient.

Powerful guide of step-by-step techniques consist of:

• settings of photo/video cameras and smart phones

• working with light

• step-by-step portrait protocol

• step-by-step intraoral photo protocol

• DSD tools, software, settings

• Smile design step-by-step: from motivational project for deep analysis and transfer information to dental lab

The participants will progress through all exercises photo/video taking and digital smile design

 

AGENDA

9:00 –  11.30 Lecture: Smile makeover, Ceramic Veneers and DSD protocols

11.30 – 12.00 – Coffee Break

12.00 – 12.30 – Demo of photo protocol for DSD

12.30 – 14.00 – Hands on video/photography using DSLR camera (full frame and cropped frame)

14.00 – 14.45 – Lunch

14.45 – 16.00 -  DSD step by step workshop - on Stock Images (Part 1)

16.00 – 16.15 - Coffee Break

16.15 – 17.45 -  DSD step by step workshop - on Stock Images (Part 2)

17.45 - 18.00 - Break

18.00 - 19.00 - DSD step by step workshop - on colleagues or LIVE patient images.

DAY 2. Ceramic Veneers: Digital Scanning, Mock-up, Prep, Provisional Restorations.

 

LECTURE COMPONENT (3 HOURS)

• Basic principles of planning for porcelain veneer restorations

• Transferring of smile design to wax-up and mock-up

• Additive wax-up and mock-up

• MicroVision rules of tooth preparation through mock-up

• Provisional restorations

HANDS-ON COMPONENT

The main aim of this workshop is to learn how to transfer smile design project into real smile prototype and then how to provide MicroVision driven preparation teeth for ceramic veneers

Powerful guide of step-by-step techniques consist of:

• transferring of Wax-Up into Mock-up

• analysis of smile prototype. Correction possibilities 

• step-by-step preparation protocol through mock-up

• tips and tricks with provisional restorations

The participants will progress through the sequence from mock-up fabrication, preparation and provisional restorations 

AGENDA

8.30 - 9.30   -  Completion of DSD cases with participants from Day 1.

9:30 - 10.30 -  Lecture Introduction of Aesthetics Cases from restored single crown to full mouth rehabilitated cases - Max Zuppardi

10.30 - 11.00 - Coffee Break

11.00 – 12.15 - Lecture: Ceramic veneers from idea to realization. Mock-up and different preparations. Immediate Dentine Sealing.

12.15 - 13.15 -  Lecture: DSD wax up protocol and case communication. Silicon Keys for record transfer. Digital Vs Analogue technique. Taking impressions analogue and digital, analysis of impressions and of models/ scans for overview perspective and treatment planning. Tips and tricks to improve final impression quality delivered to the technician.  - Max Zuppardi

13.15 – 14.00 – Lunch

14.00 – 15.00 – Demo of mock-up and initial preparation and different veneer types 1, 2 and 3

15.00 – 16.30 – Hands-on: mock-up and initial preparation for different veneer types on SIX TEETH

16.30 – 16.45 – Coffee Break

16.45 – 17.15 – Demo of final preparation: finishing and design of different margins

17.15 – 19.00 – Hands-on: final preparation, finishing and design of different margins on THREE TEETH and DIGITAL SCANNING USING TRIOS on prepped teeth for participants to analyse their preps digitally. 

DAY 3. Ceramic Veneers: Overview of Different Design Preparations. Isolation and Bonding

 

LECTURE COMPONENT (4 HOURS)

• Isolation methods in restorative dentistry

• Clamps, cords, floss ties for good retraction and perfect isolation during bonding

• Bonding protocols for porcelain veneers

• Adhesion nuances considering types of ceramic

• Sequence of luting

HANDS-ON COMPONENT (REST OF TIME)

The main aim of this workshop is to learn how to isolate the case for bonding of porcelain veneers and how to perform stress less luting.

Powerful guide of step-by-step techniques consist of:

• RUBBERDAMology techniques considering all tips and tricks for clean and predictable isolation 

• try-in of ceramic veneers

• luting protocols: etching, silanizing, bonding

• controlled insertion of restorations and cleaning from adhesive materials

• post-bonding and polishing

The participants will progress through all exercises including isolation and bonding of ceramic veneers 

AGENDA

  8.30 - 9.30 -  Demo + Hands on: finalizing the prep and fabrication of provisional restorations

  9.30 - 10.30 -  Lecture: RUBBERDAMology and protocols of ceramic veneer bonding

10.30 - 11.00 -  Coffee Break

11.30 – 12.45 -  Demo + Hands on: Tips and tricks for Rubber Dam Application

12.45 – 13.30 – Lunch

13:30– 14.30 – Demo: 6x Veneers Bonding step by step (LiSi veneers fabricated by Max Zuppardi)

14.30 – 15:30 – Hands-on: Bonding of 2x Veneers step by step (PMMA veneers)

15.30 – 16.00 – Coffee Break

16.00 – 17.00 –   Demo: Live Patient - DSD intra-oral transfer with Silicon Stent and Temp material and photographic records

17.00 – 18.00 –  DSD recap/overview of step by step case work flow

Hands-On Workshop Courses

Dr. Jeffrey Okeson

What Every Dentist Needs to Know About Temporomandibular Disorders (The Facts and The Fantasies) and A Participation Program

Read More

Dr. Pascal Magne

Session 2: Ultraconservative Treatment Options

Read More

Dr. Jose Carlos Martins Da Rosa

IMMEDIATE DENTOALVEOLAR RESTORATION (IDR): Immediately loaded implants in compromised sockets

Read More