Leading Dentists

The Restorative Mindset: Treatment Planning Around Compromised Teeth and Implants

Course Info

  • CPD Points:
    Dental Board of Australia ( 2.00 points)
    ADA CERP ( 1.75 points)
  • Speaker: Dr Alvaro Blasi
  • Location: Study Clubs
  • Date: May 2026 - Feb 2027*
    * This date / time will vary depending on your local Study Club.

Share This

Description

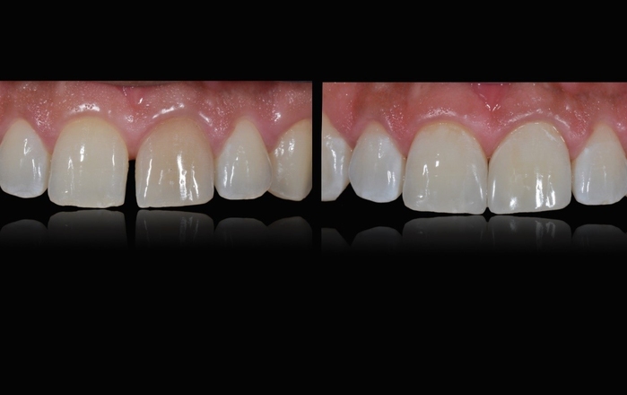
This lecture explores a restorative-driven approach to complex treatment planning, focusing on the clinical decision-making process when dealing with compromised teeth. Through detailed step-by-step clinical cases, Dr. Alvaro Blasi will present diagnostic workflows, prognosis evaluation, and treatment options that balance biological, mechanical, and aesthetic considerations. Attendees will gain insights into when preserving compromised teeth is feasible and predictable, and when extraction and implant therapy offers a more stable long-term solution. The session will also cover modern materials, occlusal design, long-term maintenance strategies, and the role of digital technologies in enhancing diagnosis, planning, and execution of treatment.

Learning Objectives:

  • Understand how to evaluate diagnosis and prognosis to decide whether to maintain or extract compromised teeth in restorative treatment planning.
  • Identify clinical strategies and techniques for both tooth preservation and implant therapy, including material selection, occlusion management, and long-term maintenance.
  • Explore the integration of digital technologies in diagnosis, planning, and execution of complex restorative cases.

Dr Alvaro Blasi

Dr Alvaro Blasi

Alvaro Blasi, DDS, CDT, PhD, is an American Board-Certified Prosthodontist and Certified Dental Technician. He completed his Prosthodontics residency and an Esthetic and Implant Fellowship at Augusta University, where he is now an Adjunct Assistant Professor, and also serves on …

Read More

Camberwell Study Club

Camberwell Study Club

Oct. 13th, 2026 Victoria, Australia

The Restorative Mindset: Treatment Planning Around Compromised Teeth and Implants

Read More
Norwood - Adelaide

Norwood - Adelaide

Oct. 13th, 2026 South Australia, Australia

The Restorative Mindset: Treatment Planning Around Compromised Teeth and Implants

Read More
Manuka - ACT

Manuka - ACT

Oct. 13th, 2026 Australian Capital Territory, Australia

The Restorative Mindset: Treatment Planning Around Compromised Teeth and Implants

Read More
Randwick

Randwick

Oct. 13th, 2026 New South Wales, Australia

The Restorative Mindset: Treatment Planning Around Compromised Teeth and Implants

Read More
Dee Why

Dee Why

Oct. 13th, 2026 New South Wales, Australia

The Restorative Mindset: Treatment Planning Around Compromised Teeth and Implants

Read More
Burwood

Burwood

Oct. 13th, 2026 New South Wales, Australia

The Restorative Mindset: Treatment Planning Around Compromised Teeth and Implants

Read More
Ryde - NSW

Ryde - NSW

Oct. 13th, 2026 New South Wales, Australia

The Restorative Mindset: Treatment Planning Around Compromised Teeth and Implants

Read More
California - Burbank

California - Burbank

Oct. 15th, 2026 California, United States

The Restorative Mindset: Treatment Planning Around Compromised Teeth and Implants

Read More
California - Southern California

California - Southern California

Oct. 15th, 2026 California, United States

The Restorative Mindset: Treatment Planning Around Compromised Teeth and Implants

Read More
North Carolina - High Point

North Carolina - High Point

Oct. 15th, 2026 North Carolina, United States

The Restorative Mindset: Treatment Planning Around Compromised Teeth and Implants

Read More
Wollongong

Wollongong

Oct. 14th, 2026 New South Wales, Australia

The Restorative Mindset: Treatment Planning Around Compromised Teeth and Implants

Read More
Parramatta

Parramatta

Oct. 20th, 2026 New South Wales, Australia

The Restorative Mindset: Treatment Planning Around Compromised Teeth and Implants

Read More
Modbury - Adelaide

Modbury - Adelaide

Oct. 15th, 2026 South Australia, Australia

The Restorative Mindset: Treatment Planning Around Compromised Teeth and Implants

Read More
Holliday Ortho - Honolulu - Hawaii

Holliday Ortho - Honolulu - Hawaii

Feb. 10th, 2027 Hawaii, United States

The Restorative Mindset: Treatment Planning Around Compromised Teeth and Implants

Read More
Georgia - Kennesaw

Georgia - Kennesaw

Oct. 22nd, 2026 Georgia, United States

The Restorative Mindset: Treatment Planning Around Compromised Teeth and Implants

Read More
Loganholme

Loganholme

Nov. 3rd, 2026 Queensland, Australia

The Restorative Mindset: Treatment Planning Around Compromised Teeth and Implants

Read More
Coquitlam - Canada

Coquitlam - Canada

Oct. 14th, 2026 British Columbia, Canada

The Restorative Mindset: Treatment Planning Around Compromised Teeth and Implants

Read More
Langley - Canada

Langley - Canada

Oct. 21st, 2026 British Columbia, Canada

The Restorative Mindset: Treatment Planning Around Compromised Teeth and Implants

Read More
 Surrey - Canada

Surrey - Canada

Oct. 15th, 2026 British Columbia, Canada

The Restorative Mindset: Treatment Planning Around Compromised Teeth and Implants

Read More
Maple Ridge - Canada

Maple Ridge - Canada

Oct. 22nd, 2026 British Columbia, Canada

The Restorative Mindset: Treatment Planning Around Compromised Teeth and Implants

Read More
Pymble

Pymble

Oct. 14th, 2026 New South Wales, Australia

The Restorative Mindset: Treatment Planning Around Compromised Teeth and Implants

Read More
Nevada - Henderson

Nevada - Henderson

Oct. 15th, 2026 Nevada, United States

The Restorative Mindset: Treatment Planning Around Compromised Teeth and Implants

Read More
Canberra - North Canberra

Canberra - North Canberra

Oct. 20th, 2026 Australian Capital Territory, Australia

The Restorative Mindset: Treatment Planning Around Compromised Teeth and Implants

Read More

Hands-On Workshop Courses

Dr. Pascal Magne

Session 3: Semi-Direct and Indirect Approaches

Read More

Dr Maxim Belograd

Photography, DSD, Rubberdamology, Indirect Anteriors and Posteriors In/Onlays -from start to finish- Indonesia

Read More

Dr Maxim Belograd

Photography, DSD, Rubberdamology, Indirect Anteriors and Posteriors In/Onlays -from start to finish - Taiwan

Read More